
清空记录
历史记录
取消
清空记录
历史记录

重磅!广东省口腔影像设备工程技术研究中心落户深图
2020年3月5日,广东省科学技术厅官网公示了2019年广东省工程技术研究中心名单。深圳市深图医学影像设备有限
公司申报的省工程技术研究中心获省科学技术厅认定通过,”广东省口腔影像设备工程技术研究中心”落户深图。
广东省工程技术研究中心的评定是为深入实施创新驱动发展战略,加强企业研发机构建设,支持企业技术创新,支
撑打赢疫情防控阻击战,通过众多专家评审和网上公示后选出。


广东省工程技术研究中心是建立以企业为主体、市场为导向、产学研医深度融合的技术创新体系,聚集和培养面向产业的创新人才,加快科技成果转化的
重要载体,是推进企业研发机构建设,提高企业的自主研发能力,防范化解科技领域技术风险的重要抓手。
深圳市深图医学影像设备有限公司自成立以来,坚持自主创新,十余年来深耕数字化X射线摄影领域,从未放慢技术创新的步伐。自深图研究口腔影像设备
之初,就积极围绕产业发展的重要需求,搭建技术创新平台,推进产学研医协同创新。
深圳市深图医学影像设备有限公司通过广东省口腔影像设备工程技术研究中心认定,是对深图口腔影像设备的认可,更是深图综合实力的肯定。这标志着
深图在单位规模、科研条件、科研成果、管理机制上得到了评审专家的肯定。
目前,广东省口腔影像设备工程技术研究中心,依托深圳市深图医学影像设备有限公司,以智能深图为引导,建设口腔医学影像设备产品生态。已获批口
腔锥形束CT三类医疗器械产品注册证,同时,深图智能牙片宝产品已出口多个国家。
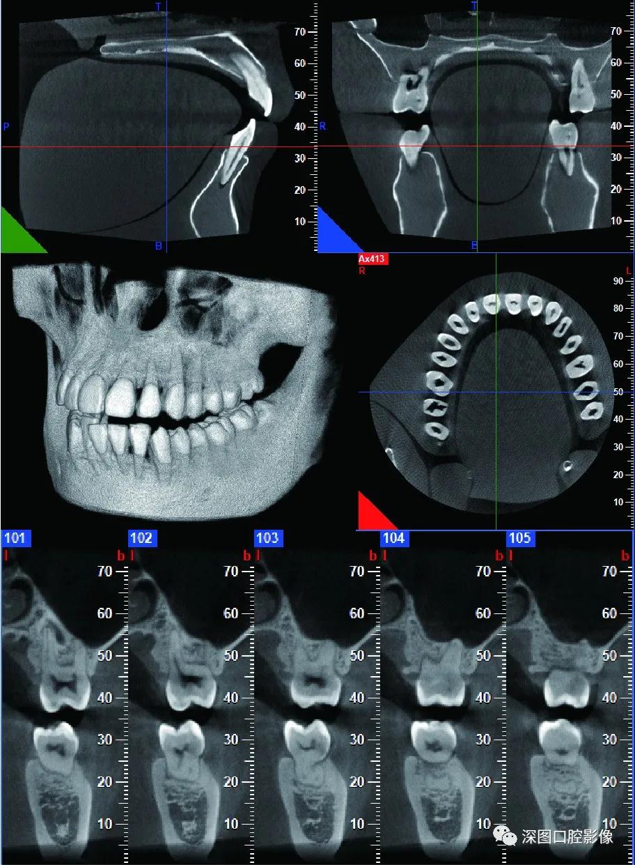
01深图口腔锥形束CT


02深图AI牙宝

科研创新是助推企业发展的重要引擎。作为国内智能数字化X射线摄影系统领军企业、深图将继续以技术研发创新为重点,依托国 家级高新技术企业、AI发
展研究中心等平台,并加强与广州医科大学附属口腔医院高校合作,吸引和培养行业优秀人才,组建一支高水平、实力雄厚的技术研发团队。
未来,深图将用更智能的产品、更优质地服务,持之以恒地推动口腔影像产业发展,更好的服务和回报社会。
